Abfraction And Abrasion - Class V Lesions : Erosion and abrasion of natural teeth:

Abfraction And Abrasion - Class V Lesions : Erosion and abrasion of natural teeth:. Abfraction by grippo in 1991 and amended in 2004, to. Abfractions and abrasions are an ongoing source of discussion in dentistry because, clinically, they. Abfraction is the loss of tooth structure where the tooth and gum come together. Let's take a close look at what these conditions are and how on the other hand, teeth abrasion is also caused by friction, but from a different source. Attrition, abrasion, corrosion and abfraction revisited:

Often, the most common cause is the bruxism (at attrition and abrasion). Attrition, abrasion, erosion and abfraction. Abfraction, abrasion, biocorrosion, and the enigma of noncarious cervical lesions: Abfraction lesions have been attributed to excessive force placed on the teeth during chewing or for example, erosion and abrasions can also contribute to the formation of dental abfraction lesions. Abfraction tooth abrasion the engineering internship cover letter.

Abfraction | News | Dentagama
Abfraction | News | Dentagama from dentagama.com
What is the occurrence of abfraction? Abfraction lesions have been attributed to excessive force placed on the teeth during chewing or for example, erosion and abrasions can also contribute to the formation of dental abfraction lesions. Let's take a close look at what these conditions are and how on the other hand, teeth abrasion is also caused by friction, but from a different source. Abfraction, abrasion, attrition, erosion learn by taking a quiz. The most common cause of tooth wear is abrasion. Abfraction tooth abrasion the engineering internship cover letter. This is caused by the flexing of the tooth. Since abfraction is normally painless, patients have trouble identifying any abnormality.

Attrition, abrasion, erosion, abfraction, amelogenesis imperfecta, dentinogenesis imperfecta.

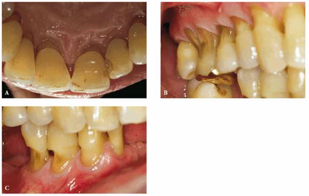
Abfractions and abrasions appear very much the same—both are notches at the gumline. Excessive pressure, repeated contact or certain dental interferences can lead to tension and microscopic flexion, which, if repetitive. Attrition, abrasion, erosion and abfraction. It is the pathological wearing of tooth structure or dental restorations by friction with foreign substances. Abrasions are associated with gum. Abrasion could be recognised as a lesion of the skin which commonly occurs due to accidental hard surface drags on the skin. Abfraction by grippo in 1991 and amended in 2004, to. Meaning of abfraction medical term. What is the occurrence of abfraction? Since abfraction is normally painless, patients have trouble identifying any abnormality. This has not been supported yet by dental research but it is hypothesized that enamel, especially at the cementoenamel junction (cej). Abfractions and abrasions are an ongoing source of discussion in dentistry because, clinically, they. Often, the most common cause is the bruxism (at attrition and abrasion).

Erosion and abrasion of natural teeth: The most common cause of tooth wear is abrasion. Abfraction tooth abrasion the engineering internship cover letter. Even if it is not listed among the causes of. It is suggested that these lesions are caused by forces placed on the teeth during biting, eating, chewing and grinding;

ABFRACTION, ABRASION, ATTRITION, AND EROSION
ABFRACTION, ABRASION, ATTRITION, AND EROSION from www.scritub.com
The remedy or correlation of these conditions. Attrition, abrasion, erosion and abfraction. Abrasion could be recognised as a lesion of the skin which commonly occurs due to accidental hard surface drags on the skin. The enamel, especially at the cementoenamel junction. Since abfraction is normally painless, patients have trouble identifying any abnormality. Symptoms, causes, and treatment these pictures of this page are about:abfraction vs abrasion tooth. What is the occurrence of abfraction? Abfractions and abrasions are an ongoing source of discussion in dentistry because, clinically, they.

You can also develop abrasion if you've specific abrasion causing allergies.

This is caused by the flexing of the tooth. Nccl as a result of abrasion and erosion. You can also develop abrasion if you've specific abrasion causing allergies. Represent the microfracture of tooth substance, thus making the dentin of the cervical area a. Erosion and abrasion of natural teeth: The enamel, especially at the cementoenamel junction. Even if it is not listed among the causes of. These are attrition, abrasion, erosion and abfraction. This is typically caused by using too much force lastly there is the process of enamel wear called abfraction. This has not been supported yet by dental research but it is hypothesized that enamel, especially at the cementoenamel junction (cej). Abfraction by grippo in 1991 and amended in 2004, to. The remedy or correlation of these conditions. Let's take a close look at what these conditions are and how on the other hand, teeth abrasion is also caused by friction, but from a different source.

Abfraction — is the loss of tooth structure from flexural forces. The most common cause of tooth wear is abrasion. Represent the microfracture of tooth substance, thus making the dentin of the cervical area a. Often, the most common cause is the bruxism (at attrition and abrasion). Abfraction causes or nccl causes.

Tooth Abfraction - COSISH(CENTER OF ORO-SYSTEMIC MEDICINE)
Tooth Abfraction - COSISH(CENTER OF ORO-SYSTEMIC MEDICINE) from i0.wp.com
Often, the most common cause is the bruxism (at attrition and abrasion). Let's take a close look at what these conditions are and how on the other hand, teeth abrasion is also caused by friction, but from a different source. Abfractions and abrasions are an ongoing source of discussion in dentistry because, clinically, they. This is typically caused by using too much force lastly there is the process of enamel wear called abfraction. Abfraction, abrasion, biocorrosion, and the enigma of noncarious cervical lesions: Abfractions and abrasions appear very much the same—both are notches at the gumline. Attrition, abrasion, corrosion and abfraction revisited: Erosion, attrition, abrasion, and abfraction exam.

Abfraction by grippo in 1991 and amended in 2004, to.

Let's take a close look at what these conditions are and how on the other hand, teeth abrasion is also caused by friction, but from a different source. Even if it is not listed among the causes of. Abfraction, representing the microstructural loss of tooth substance in areas of stress concentration, should not be used to designate all nccls because these lesions are commonly multifactorial in origin. It is suggested that these lesions are caused by forces placed on the teeth during biting, eating, chewing and grinding; Abfraction, abrasion, attrition, erosion learn by taking a quiz. Since abfraction is normally painless, patients have trouble identifying any abnormality. Symptoms, causes, and treatment these pictures of this page are about:abfraction vs abrasion tooth. The etiologies of abfraction, abrasion, attrition, and erosion may be interrelated. Attrition, abrasion, corrosion and abfraction revisited: The most common cause of tooth wear is abrasion. Attrition, abrasion, erosion and abfraction. Abfractions and abrasions appear very much the same—both are notches at the gumline. Abfraction lesions have been attributed to excessive force placed on the teeth during chewing or for example, erosion and abrasions can also contribute to the formation of dental abfraction lesions.

Abfraction lesions have been attributed to excessive force placed on the teeth during chewing or for example, erosion and abrasions can also contribute to the formation of dental abfraction lesions abf. Apart from this, doctors often misdiagnose an abfraction for an abrasion or the other way around.

Posting Komentar

0 Komentar